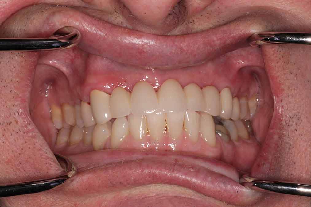
Teeth Bleaching, Fixed Bridge
-
Before
After
-
BeforeAfter
Case Summary
Patient has been missing his front teeth for over 50 years and was wearing a removable partial denture. He wanted something that he didn’t have to take in and out (fixed), and was tired of having to clean food out from under his partial after eating.
The treatment consisted of beaching of the teeth for a period of about 8 weeks, followed by fabrication of a fixed bridge to replace his missing front teeth. Patient was extremely pleased with his results and stated that he can now smile for the first time in many years!
Your results may vary.



