Open Up Bite, Crowns Upper Arch
-
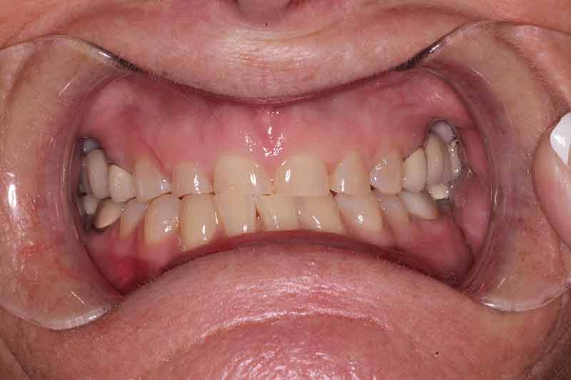
Before
After
-
BeforeAfter
Case Summary
Patient presented to our office with severely worn teeth and collapsed bite. As you can see from her pre-treatment smile, she did not show much of her teeth when she smiled. Treatment consisted of opening up her bite and then crowns on the upper arch of teeth. She now shows a full smile of teeth.
Your results may vary.



