-
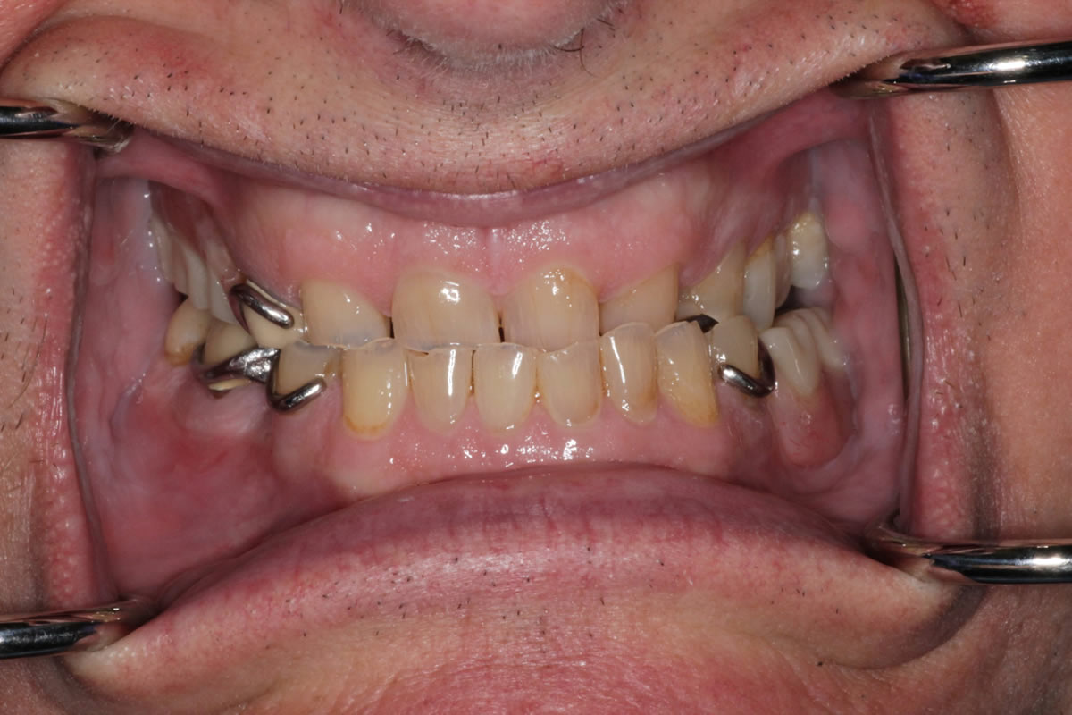
Before
After
-
BeforeAfter
Case Summary
Treatment consisted of opening the collapsed and worn down bite, followed by crowns on the upper and lower arches, and new upper and lower partial dentures (partials) to replace missing back teeth. Treatment time was approximately 4 months.
Your results may vary.



