-
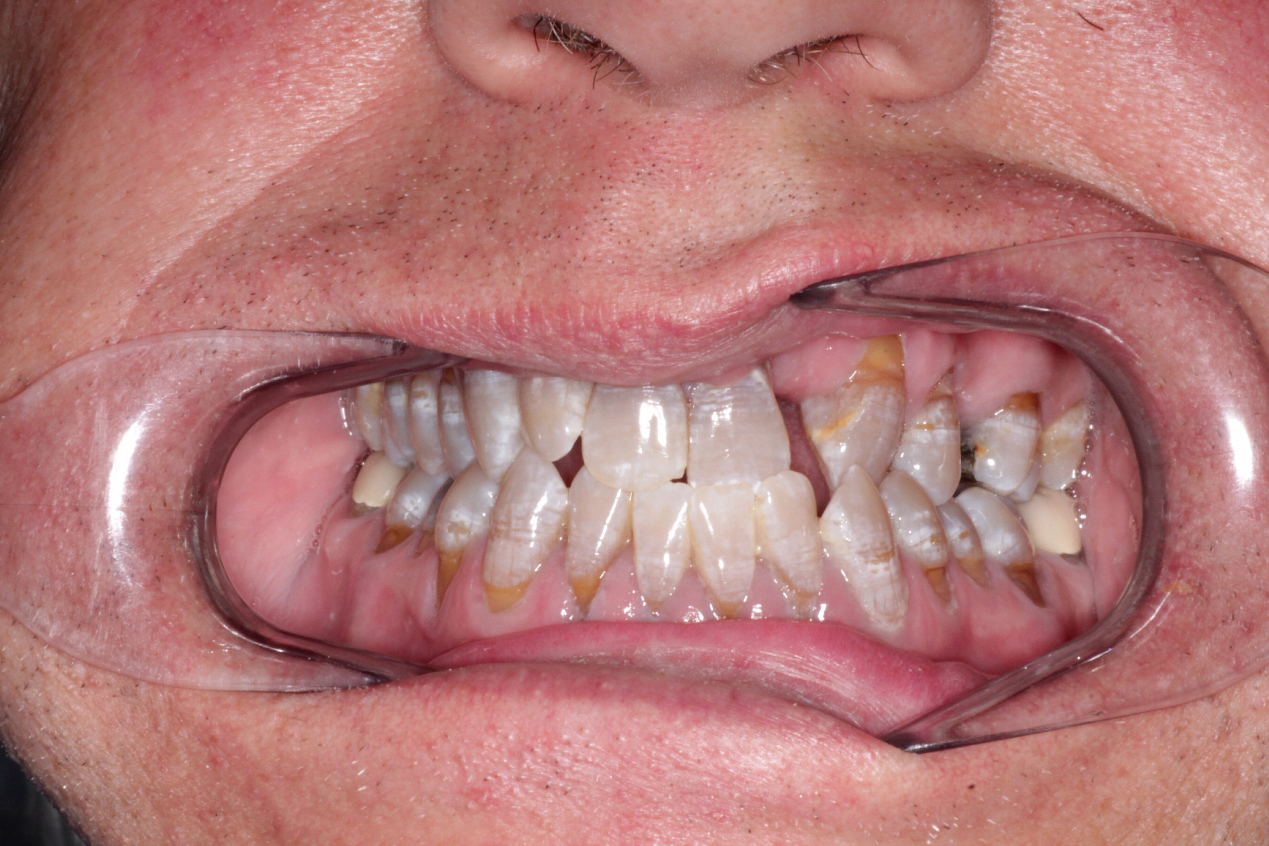
Before
After
Case Summary
Treatment consisted of restoring a missing front tooth and intrinsic staining using crowns and bridges
Your results may vary.


Treatment consisted of restoring a missing front tooth and intrinsic staining using crowns and bridges
Your results may vary.